هماتولوژی - صفحه 5
شماره ۱۱۴۳
ترومبوز در سرطان‌ها
308
بیماری ترومبوسیتوز یا پلاکت خون بالا چیست؟ نشانه‌ها و درمان بیماری پلاکت خون بالا
اولین نشانه ابتلا به پلاکت خون بالا ممکن است ایجاد لخته خون باشد. لخته‌ها می‌توانند در هر نقطه‌ای از بدن شخص ایجاد شوند، اما با وجود ترومبوسیتوز اساسی لخته‌ها اغلب در مغز ، دست و پا ایجاد می‌شوند. در عین حال نیز ممکن است نشانه‌های قابل توجهی از ترومبوسیتوز اساسی وجود نداشته باشد .
شماره ۱۱۳۵
چکیده بیماری پلی‌سیتمی‌ورا (PV)
شماره ۱۱۳۴
تجویز آهن وریدی در درمان فقرآهن (الگوی جدید)
شماره ۱۱۳۳
درمان نارسایی مغز‌استخوان بدون پیوند مغز‌استخوان
شماره ۱۱۳۲
درمان بیماران لنفوم تبدیل‌شده به نوع مهاجم‌تر
شماره ۱۱۳۱
درمان سه‌گانه میلوم‌مولتیپل
شماره ۱۱۳۰
پلی‌آدنیلاسیـون اینتـرونی از PDGFR‌α در بن‌یـاخته‌های ساکن باعث کاهش فیبروز عضله ‌می‌شود
شماره ۱۱۳۰
استفاده‌از مونوکلونال آنتی‌بادی در درمان ALL
شماره ۱۱۲۹
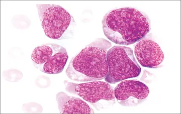
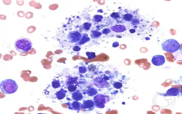
لوسمی لنفوبلاستیک حاد
شماره ۱۱۲۸
بیماری‌های همولی‌تیک مادرزادی Nonimmune
شماره ۱۱۲۷
لنفوهیستیوسیتوز هموفاگوسیتیک