هماتولوژی - صفحه 2
شماره ۱۱۰۵
کم‌خونی‌ها و روش تشخیص
بررسی‌های آزمایشگاهی در تشخیص کم‌خونی  اغلب کمک‌کننده هستند که شامل: CBC، پلاکت‌، اندکس‌های گلبول‌های قرمز RDW,MCV,MCH، شمارش رتیکولوسیت‌ها بوده و بررسی خون محیطی که ارزش بسیاری دارد.
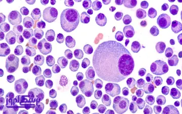
شماره ۱۲۳۲
درمان میلوفیبروز
MF ممکن‌است در تعقیب پلی‌سیتمی‌ورا یا ترومبوسیتوز عارض‌شود که آن‌را ثانویه می‌نامند ولی این بیماری ممکن‌است به‌صورت‌ Denuvo مشاهده‌گردد که به میلوفیبروز اولیه موسوم است.
کمبود کراتینین در خون انسان
Creatinine: عبارت از فرآورده شیمیایی است که از Creatine حاصل می‌شود و در حقیقت آمینواسیدی می‌باشد که در کبد تولید می‌گردد و در این عضو ذخیره می‌شود.
شماره ۱۲۳۱
درمان خط مقدم CLL درسال ۲۰۱۸
امروزه ‌Ibrutinib مقام‌ (خط)‌ اول درمانی‌ CLL شناخته ‌شده‌است و موجب‌شده تا در مسئولیت‌ CIT تجدید نظر نماییم.
شماره ۱۲۳۳
روش درمان بیماری میلوم‌مولتیپل در افراد‌جوان تازه تشخیص‌داده‌شده
برجسته‌کردن بعضی‌از تغییراتی که اخیراً به‌صورت Imaging توسط(International Myeloma Working Group(IMWG مهم تلقی‌گردیده، استفاده‌از روشی ‌نوین جهت بررسی سنجش ضایعات‌ استخوان‌ها و پاسخ‌درمانی در آزمایشات بالینی می‌باشد که در تجربه بالینی به‌کار خواهد‌ رفت.
شماره ۱۱۷۸
خودآزمایی: تشخیص شماچیست؟ ۱۱۷۸
خانم ۳۱ساله‌ای که باسابقه گذراندن۳ماه تعطیلات طولانی درخاورمیانه و شمال آفریقا به‌وطن برگشته است، با ابتلا به تب، کم‌اشتهایی و ناراحتی شکم از ۲هفته پیش، به ما مراجعه نمود.
شماره ۱۱۷۷
خودآزمایی: تشخیص شماچیست؟ ۱۱۷۷
یک نوزاد Full-term با پورپورا، اکیموز و تنگی‌نفس دیده‌شد. فرمول و شمارش خون او عبارت بود از:
شماره ۱۱۷۶
خودآزمایی: تشخیص شماچیست؟ ۱۱۷۶
به پرسشهای زیر پاسخ دهید. . .
شماره ۱۱۷۳
خودآزمایی: تشخیص شماچیست ؟
این تصاویر خون‌محیطی (23a،23b)، مربوط‌ به ‌خانم ۳۴ساله‌ای است که تعداد گلبول‌های‌سفید او ۶۳۰۰۰mm3 بود. بیمار با چهاردوره شیمی‌درمانی شدید‌(Intensive) درمان‌شد و به خاموشی کامل (Complete remission) رفت.
شماره ۱۲۱۹
لیشمانیای احشایی با تظاهرات پان‌سیتوپنی
پسربچه‌ای ۳ساله اهل‌ سوریه و با سابقه سلامتی ‌کامل، با نشانه‌های ‌تب، پان‌سیتوپنی و سلول‌های شبیه به لنفوبلاست در خون‌ محیطی ‌(Panel‌ A) درمقایسه با لنفوسیت‌‌طبیعی(Panel B) دیده‌شد.
شماره ۱۱۷۲
خودآزمایی: تشخیص شماچیست ؟
خانم باردار ۲۷ساله‌ای (هفته۳۶ بارداری) دچار ناخوشی با تب، ضایعات Purpuric در اندام‌ها و کاهش هوشیاری شد.
شماره ۱۱۷۰
خودآزمایی: تشخیص شماچیست؟
یک خانم ۷۵ساله‌ باسابقه ۳ماهه احساس ضعف و خستگی تدریجی مراجعه‌کرده است.