هماتولوژی - صفحه 3
شماره ۱۱۶۶
خودآزمایی: تشخیص شماچیست؟
شماره ۱۱۶۵
خودآزمایی: تشخیص شماچیست؟
شماره ۱۱۶۳
خودآزمایی: تشخیص شماچیست؟
شماره ۱۱۶۲
خودآزمایی: تشخیص شماچیست؟
شماره ۱۱۸۴
خودآزمایی: تشخیص شما چیست؟ ۱۱۸۴
خون‌محیطی نشان‌دهندة لنفوسیت‌های فعال‌شده بزرگ ‌(Atypical Lymphocyte) و لنفوسیتوز نسبی می‌باشد که احتمال منونوکلئوز عفونی را شدیداً مطرح‌می‌نماید.
شماره ۱۱۶۴
خودآزمایی: تشخیص شماچیست؟
شماره ۱۱۶۱
خودآزمایی: تشخیص شماچیست؟
شماره ۱۲۰۳
خودآزمایی: تشخیص شماچیست؟
شماره ۱۱۶۰
خودآزمایی: تشخیص شماچیست؟
شماره ۱۱۵۹
خودآزمایی: تشخیص شماچیست؟
شماره ۱۱۵۵
خودآزمایی: تشخیص شماچیست؟
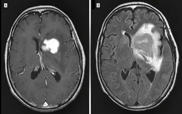
شماره ۱۱۵۴
لنفوم اولیه سیستم عصبی مرکزی