طب داخلی - صفحه 56
شماره ۹۷۵
کلیات پوکی استخوان
استخوان یکی از سخت‌ترین بافتهای بدن است. استخوان به‌عنوان جز اصلی اسکلت انسان ازساختمان های عضلانی و ارگان‌های حیاتی محافظت می‌کند و مغزاستخوان را که محل تشکیل سلول‌های خونی است درخود جای می‌دهد.
شماره ۹۷۵
تندرستی با 12 دقیقه
نتایج یک بررسی جدید که در نشریه‌ی Plos One انتشار یافته، حاکی از آن است که فقط 12 دقیقه نرمش در هفته برای تندرست ماندن کافی است.
شماره ۹۷۵
کارگران شیفتی ودیابت
نتایج یک بررسی جدید حاکی از آن است‌که کار شبانه سبب اختلال تحمل گلوکز می‌گردد وازنقش علتی کارشبانه در افزایش احتمال بروز دیابت نوع 2 درکارگران شیفتی حمایت می‌کند.
شماره ۹۷۵
تجویزآهن به خانم‌های باردار
شماره ۹۷۴
پوکی استخوان و سیگار
در‌حال‌حاضر پوکی‌استخوان یک‌عامل عمده‌ی ناتوانی در‌میان افراد مسن به‌شمار می‌‌رود.
شماره ۹۷۴
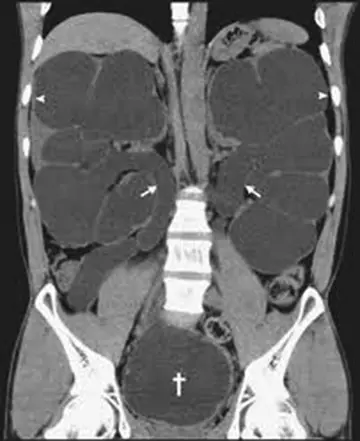
هیدرونفروز و پلی‌سیتمی
یک مرد 34 ساله‌ی غیرسیگاری برای ارزیابی سابقه‌ی 3 ساله‌ی پلی‌سیتمی و نیاز به فلبوتومی ماهانه ارجاع شد. سابقه‌ی طبی بیمار ازنظر دیابت بی‌مزه‌ی نفروژنیک مادرزادی با بازده‌ی تقریبی‌12‌تا‌15‌لیتر ادرار درروز قابل‌توجه بود.
شماره ۹۷۴
صدمه دارویی کبـد
نتایج یک بررسی جدید که درشماره‌‌ی ژوئن2013 نشریه‌ی Gastroenterology ارگان رسمی جامعه‌ی گاستروآنترولوژی آمریکا انتشار‌یافته، آمده‌است که امروزه بیش‌از گذشته افراد بیشتری دچار صدمه‌ی کبد به‌‌علت مصرف داروdrug-induced liver injury (باکوته‌نوشت ‌DILI )می‌شوند.
شماره ۹۷۴
آویشن در التهاب مجاری تنفسی
آویشن ، که به لاتیــن Thymus vulgaris و به زبان انگلیسی Thyme نام‌ دارد، گیاهی از خانواده‌ی نعناع است، که برای کاربردهای دارویی و نیز اسانس‌گیری پرورش داده می‌شود برگ‌های آویشن به‌صورت متقابل و کوچک (درحدود یک سانتیمتر) و بیضی شکل است و گل‌های آن به‌رنگ سفید و ارغوانی می‌باشد .
شماره ۹۷۴
آنتی‌بیوتیک و استاتین‌ها
برای سالمندان بیماری که ازاستاتین‌ استفاده می‌کنند نباید آنتی بیوتیک‌‌های کلاریترومایسین یا اریترومایسین تجویز شود زیرا خطر مسمومیت با استاتین‌افزایش می‌یابد.
شماره ۹۷۴
پایش BP از راه دور
تدبیر فشارخون از راه دور شامل اندازه‌گیری فشارخون درمنزل است که به صورت خودکاربه دفتر پزشک یا تدارک بینندگان سلامت منتقل می‌شود.
شماره ۹۷۳
چاقی و پوکی استخوان
چاقی و پوکی‌استخوان دو بیماری شایع می‌باشند که میلیون‌ها نفر‌از مردم را تحت‌تأثیر قرار‌داده‌اند. هر دو بیماری دارای اتیولوژی چندگانه می‌باشند از جمله عوامل ژنتیکی و محیطی.
شماره ۹۷۳
هیپرتیروئیدیسم (بخش پایانی)
روش‌های درمان و داروها چند روش درمان برای هیپرتیروئیدیسم وجود دارد. بهترین رویکرد درمانی برای بیمار به سن، وضع جسمانی و وخامت این نابسامانی‌ بستگی‌دارد: