طب داخلی - صفحه 6
شماره ۱۱۳۲
عوارض ناشی‌از میکروب‌های هم‌زیست به‌دلیل عدم‌‌ مصرف ‌فیبر
شماره ۱۱۳۲
کاهش گاستروآنتریت حاد با واکسیناسیون
شماره ۱۱۳۰
بررسی تاثیر اسپری بودزوناید بر آسم
بررسی تاثیر اسپری بودزوناید بر آسم، بودزوناید کورتیکوستروئید استنشاقی با عوارض شدید آسمی کمتری در بیماران مبتلا به آسم خفیف اولیه و حتی در گروهی که نشانه‌های نادری دارند همراه‌است.
شماره ۱۱۳۰
بهبـود متابولیــسم در موش‌های چـاق و دیابتی با پروتئین خاص
شماره ۱۱۲۹
بازی با هلیکوباکتر پایلوری
شماره ۱۱۲۹
ختنه در دختران وخانم‌ها
شماره ۱۱۲۶
زنجبیل، مؤثر در درمان IBD
شماره ۱۱۲۶
درمان کولیت اولسروز با پیوند مدفوع
شماره ۱۱۲۵
کولونوسکوپی و DNA مدفوع
شماره ۱۱۲۵
تأیید داروی جدید درمان سرطان‌ریه
شماره ۱۱۲۵
تشخیص آسم از‌ طریق تست بزاق
بنا‌بر‭ ‬اظهارنظر‭ ‬تیم‭ ‬تحقیق،‭ ‬چنین‭ ‬روشی‭ ‬نه‌تنها‭ ‬می‌تواند‭ ‬بیماری‭ ‬آسم‭ ‬را‭ ‬تشخیص‌دهد،‭ ‬بلکه‭ ‬قادر‭ ‬است‭ ‬شدت‭ ‬و‭ ‬همچنین‭ ‬روند‭ ‬پیشرفت‭ ‬آن‭ ‬را‭ ‬نیز‭ ‬تعیین‌کند‭. ‬
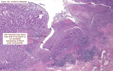
شماره ۱۱۲۴
پیشگیری‌از فیبروز در کرون