طب داخلی - صفحه 29
شماره ۱۰۲۸
تاثیر خواب بر کولیت اولسروز
شماره ۱۰۲۸
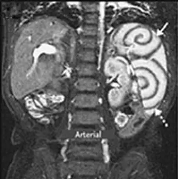
مارپیچ‌های طحال
شماره ۱۰۲۷
فراوانی سوراخ بیضی باز
شماره ۱۰۲۷
ساچمه در آپاندیس
شماره ۱۰۲۶
فرآورده‌ آماده سازی روده
شماره ۱۰۲۶
بلاستومیکوز جلدی
شماره ۱۰۲۶
آسکاریاز انسدادی ایلئوم
شماره ۱۰۲۶
تاثیر مصرف مکمل ها بر کبد چرب
نتایج بررسی‌ها  نشان می‌دهد  که به‌طور واضحی صدمات کبدی ناشی از مکمل‌های گیاهی در طی یک دهۀ گذشته افزایش داشته  و علاوه‌بر آن استفاده از مکمل‌های گیاهی غیربدن‌ساز عواقب کبدی  وخیم‌تری نسبت به مکمل‌های گیاهی بدن‌ساز و مکمل‌های داروئی رایج داشته‌اند.
شماره ۱۰۲۶
باکتریهای روده و موادغذایی
شماره ۱۰۲۵
تدبیـر دیابت با گیاهان
شماره ۱۰۲۵
بازگیری پردنیزون
شماره ۱۰۲۵
نگاهی به آلرژی مایت گردوغبار (۲) (بخش پایانی)