دندانپزشکی - صفحه 7
شماره ۱۰۲۷
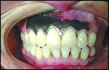
ملانـوم لثـه
شماره ۱۰۲۶
پیشگیری از پوسیدگی دندان (۳) (بخش پایانی)
شماره ۱۰۲۵
پیشگیری از پوسیدگی دندان(۲)
شماره ۱۰۲۴
پیشگیری از پوسیدگی دندان
شماره ۱۰۲۱
لیزر در اندو (۲) (بخش پایانی)
شماره ۱۰۲۱
ایمپلانت دندان در سینوس اتموئید
یک خانم ۵۷ ساله با سینوزیت راجعه‌ی سینوس ماکزیلر چپ مراجعه‌کرد.
شماره ۱۰۲۰
لیزر در اندو
هدف اصلی درمان اندو تمیزکردن مؤثر سیستم کانال ریشه است.
شماره ۱۰۱۸
مراقبت از دندان و دیابت
شماره ۱۰۱۸
شکستگی دندان در غواصی اسکوبا
۱۰۱۵
خلع سلاح انتخابی دستگاه ایمنی
۱۰۱۵
نسخه‌های یادآور (محلول ترکیبی بعد از جراحی دهان)
شماره ۱۰۱۴
سیستم تک فایل (۲) (بخش پایانی)