دندانپزشکی - صفحه 10
شماره ۹۸۱
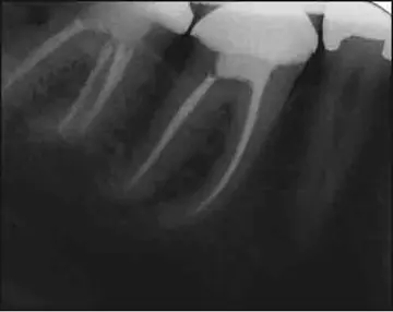
پیش‌بینی درمان اندو (۲) (بخش پایانی)
بزرگترین اختلاف درسیستم‌های روتاری، دندانپزشکی است که از آنها استفاده می‌کند.....
شماره ۹۸۰
پیش‌بینی درمان اندو
کلید قابل پیش‌بینی بودن درمان اندو، دانستن نوع درمان و چگونگی انجام آن است.
شماره ۹۷۷
سیستم جدید پرکردن کانال ریشه
گوتاپرکا به رغم بسیاری از مزایایی که داراست (غیرسمی، زیست‌سازگار، ترموپلاستیک و قابل خارج کردن ازکانال ریشه retreatable) دارای یک محدودیت است؛ گوتاپرکا قادر به جلوگیری از ریزنشت تاجی نمی‌باشد.
شماره ۹۷۷
پوسیدگی دندان وسرطان
طبق نتایج به دست آمده ازیک بررسی تازه‌ی شگفت انگیز، افرادی که دارای حفره‌های بیشتر دردندان‌خود هستند درمقایسه بابیمارانی که دارای حفره (کاویته) نیستند یا تعداد حفره‌های‌شان کم است در معرض خطر کمتر سرطان سرو گردن هستند.
شماره ۹۷۴
پنیر ولبنیات و پیشگیری از حفره
مصرف فرآورده‌های لبنی درحفظ خوب کل سلامت نقش حیاتی دارد و به ویژه درسلامت استخوان با اهمیت است. اما درمورد نحوه‌ی تأثیر لبنیات به ویژه بر سلامت دهان پژوهش اندکی انجام شده است.
شماره ۹۷۳
شکست درمان کانال ریشه(۲) (بخش پایانی)
پرکردن بلند کانال ریشه: پرکردگی بیش‌از 2میلی‌متر فراتر از آپکس رادیوگرافی اغلب به‌علت وجود تحلیل التهابی آپیکال، آپکس با تکامل ناقص یا اندازه‌گیری غلط طول کارکرد و فایل‌کردن از ورای فورامن آپیکال صورت می‌گیرد.
شماره ۹۷۲
شکست درمان کانال ریشه
شماره ۹۶۸
دندانپزشک و ADHD (بخش پایانی)
شماره ۹۶۷
دندانپزشک و ADHD
شماره ۹۶۴
سفیدکردن خانگی دندانها
دکترماندانا پرتوی - دندانپزشک ـ اندودنتیست
شماره ۹۶۳
سودا وصدمه دندان
شماره ۹۶۱
کاربردهای بالینی MTA
دکترماندانا پرتوی - دندانپزشک ـــ اندودنتیست