جراحی - صفحه 11
شماره ۹۹۹
توری ماندیبولار
به‌علت بی‌کفایتی حاد تنفسی، شوک کاردیوژنیک، صدمه‌ی حاد کلیه و عفونت مجرای ادرار یک مرد 79 ساله در واحد تیمار فشرده‌ی داخلی پذیرفته شد.
شماره ۹۹۸
کشف تازه درصدمه رباط
شماره ۹۹۸
لوله‌گذاری پیش‌از بیمارستان
شماره ۹۹۸
پدیده هاله
یک پسر بچه‌ی سالم برای ارزیابی یک خال ملانوسیتی مادرزادی روی بخش میانی ساق چپ مراجعه کرد که توسط بخش درماتولوژی از 3‌سالگی از نزدیک پیگیری می‌شد.
شماره ۹۹۷
استفاده از سوتورواستیپل
قریب یک سوم خانم‌های باردار در ایالات متحده از روش زایمان با سزارین استفاده می‌کنند.
شماره ۹۹۵
پاروتیت انسدادی
یک مرد 51‌ساله با سابقه‌ی 3‌روزه‌ی درد و ورم سمت‌راست صورت، تب، و خشکی‌دهان به بخش اورژانس مراجعه کرد.
شماره ۹۹۴
موکوسـل زبـان
یک پسر بچه‌ی 8‌ساله‌ برای ارزیابی یک توده در خط وسط سطح شکمی قدام زبان ارجاع شد.
شماره ۹۹۴
بیماری Rosai‌–‌‌Dorfman
شماره ۹۹۴
آسپیرین و شوانوم دهلیزی
پژوهشگران‌«چشم‌وگوش» ماساچوست، دانشکده‌ی طب هاروارد، انستیتوی تکنولوژی ماساچوست و بیمارستان عمومی ماساچوست برای نخستین‌بار ثابت کرده‌اند مصرف آسپیرین با وقفه‌ی رشد شوانوم‌های دهلیزی vestibular schwannoma (که نوروم آکوستیک هم نامیده می‌شود) ارتباط دارد.
شماره ۹۹۳
کف دست سیرابی
شماره ۹۹۱
کامپیوتر و اینسیدنتالوما
شماره ۹۹۱
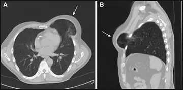
فتق ریه بعد‌از عمل
یک سال پس ازجراحی بای پس سرخ‌رگ کرونر به صورت مستقیم و با حداقل تهاجم یک مرد 67‌ ساله به‌علت وجود دفورمیته با حدود مشخص مراجعه کرد که از بالای فضای بین‌دنده‌یی سوم چپ بیرون‌زده وهمی‌توراکس قدامی چپ ایجاد شده بود.