جراحی - صفحه 10
شماره ۱۰۱۲
مگـنـت و کـودکان
شماره ۱۰۰۹
تروما به سر و رسوب آمیلوئید
شماره ۱۰۰۹
کله سیستکتومی درکله سیستیت
شماره ۱۰۰۶
بلع اسباب‌بازی
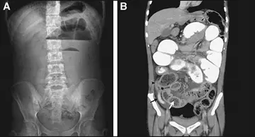
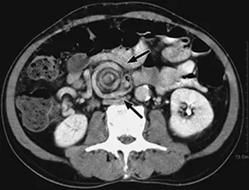
یک خانم 72 ساله با سابقه‌ی 3‌روزه‌ی درد دور ناف به بخش اورژانس مراجعه کرد. او قبلاً یک باراستفراغ کرده بود.
شماره ۱۰۰۵
آنتی‌بیوتیک برای سلولیت و آبسه
شماره ۱۰۰۵
بیماران ICU و خطر PTSD
شماره ۱۰۰۵
صدمات سر دوران کودکی
شماره ۱۰۰۴
ایلئوس شبه مکونیوم
یک خانم 19‌ساله با دیابت ملیتوس نوع1 و مشکوک به فیبروز کیستیک با سابقه‌ی یک روزه‌ی درد حاد شکم مراجعه نمود.
شماره ۱۰۰۳
آنوریسم بطن چپ
شماره ۱۰۰۳
آبسه پیوژنیک کبد وسرطان
شماره ۱۰۰۱
مدیریت جراح عمومی در ضایعات عروق
درمان ضایعات عروقی دراثر تصادفات و برخورد با وسائل تیز مثل چاقو، شیشه ، امثال آن از موارد اورژانسی است و باید هرچه زودتر درمان شود، تأخیر در درمان به‌خصوص اندام‌ها ممکن‌است منجر به شوک، گانگرن، قطع‌عضو و درشکم باعث خونروی داخلی شود.
شماره ۱۰۰۰
ولـوولـوس روده کوچـک
یک مرد 67 ساله با درد حاد شکم که از 3‌ساعت پیش شروع شده بود به بخش اورژانس مراجعه کرد.