هماتولوژی - صفحه 20
شماره ۹۹۵
تغذیه و گروه‌های خونی
مردم سراسرجهان اکنون با جیره‌ی‌غذایی با توجه به گروه‌های خونی کم‌و‌بیش آشنا هستند.
شماره ۹۹۵
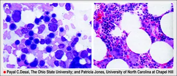
اقدامات تشخیصی درمانی میلوم مولتیپل
آزمایش‌های درخواستی:
شماره ۹۹۴
درمان عود میلوم‌مولتیپل مقاوم
این تحقیق درمراکز متعدد درمانی فاز۱/۲ درمان توام lenalidomide ,bendamustine dexamethasone هر چهار‌هفته یک‌بار در نزد بیماران مقاوم و یا عود‌شده میلوم‌مولتیپل‌(MM) تحت بررسی صورت‌گرفت.
شماره ۹۹۳
بیماری مهلک ویلسون
خانم 37ساله بدون‌عارضه‌ی قبلی دچار احساس ناخوشی، یرقان و ادرار پررنگ شده به‌فوریت مبتلا‌به نارسایی کبدی گردید.
شماره ۹۹۲
آپلازی خالص گلبولهای سفید
مرد 73‌ساله‌یی به پزشک خانوادگی برای درد شکم، استفراغ، دیسفاژی به‌مدت یک‌هفته مراجعه کرد. او همچنین از ضایعه‌ی سفید رنگ دهان و سرفه‌ی توام با خلط روشن درعرض این‌مدت رنج می‌برد.
شماره ۹۹۱
لنفوم اولیه وثانویه CNS
مقدمه: پاتوژنز لنفوم اولیه وثانویه سیستم اعصاب مرکزی(CNS) یک وضعیـت منحصر به فـرد درتشخیـص، پیشـرفت بیمار وچـالش درمــانـی را به دنبال دارد.
شماره ۹۹۰
گرانولوم مغز استخوان و هیستیوسیت
مرد 77‌ساله‌ جهت بررسی پانسیتوپنی بستری شد.
شماره ۹۹۰
پلاسمای غنی از پلاکت(۲) (بخش پایانی)
شماره ۹۸۹
پلاسمای غنی از پلاکت
شماره ۹۸۹
درمان لنفوم عود کرده
پیش‌آگهی دردرمان لنفومای (diffuse large B-cell (DLBSL و سایر لنفومای intermediate grare B-cell nonHodgkins با پروتکل‌(R-CHOP) شامل سیکلوفسفاماید، دگزاروبیسین، وینکریستین، پردنیزولون و Rituximab بسیار خوب شده است.
شماره ۹۸۸
لوسمی‌پرولنفوسیتیک‌ B-PLL
مرد80 ساله‌یی به‌علت خستگی پیشرونده و طحال بزرگ متوسط بدون لنفادنوپاتی در تعقیب درمان لوسـمی لنفـاوی مزمـن (CLL) با chlorambucil با تشخیص لوسمی prolymphocytic دیده شد.
شماره ۹۸۷
بی‌خطربودن قطع ایماتینیب