بیماری ام اس - صفحه 2
گزینه های درمانی بیماری ام اس
بسیاری از درمان‌‌‌های اصلاح‌کنندۀ بیماری که برای درمان ام اس استفاده می‌‌شوند موجب ایجاد عوارض زیادی نیز می گردند. انتخاب درمان مناسب به بسیاری از عوامل، از جمله مدت زمان و شدت بیماری، اثربخشی درمان‌‌‌های پیشین ام اس،هزینه، سایرعوامل مرتبط با سلامت، و وضعیت باروری فرد، بستگی دارد.
دسته بندی ها در بیماری ام اس
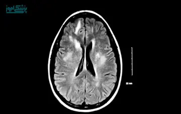
مطابق تعریف ، مولتیپل اسکلروزیس یا همان بیماری ام اس یک بیماری خودایمنی و التهابی است که سیستم عصبی مرکزی و اعصاب محیطی را درگیر می کند.
شماره ۱۰۶۸
نیاز به نظارت مستمر بر روند درمان های جدید MS
آزمایش‌های تشخیصی جهت پیشگیری از لمفوپنی و عملکرد آشفته‌ی کبدی (Deranged liver function)، باید در تمامی فرایندهای درمانی در دسترس برای ام اس و در مراحل مختلف آن لحاظ شود.
شماره ۹۵۵
نقش چاقی در بروز بیماری ام اس MS کودکان و نوجوانان
براساس گزارش‌جدیدی که درشماره‌ی ژانویه‌ی 2013 مجله‌ی‌ نورولوژی ارگان انجمن مغز واعصاب آمریکا به چاپ رسیده است چاق بودن ممکن است خطر ابتلا به بیماری ام اس(MS) را دردختر بچـه‌هـا و نوجــوانان بــیشترکند.
شماره ۹۴۶
نقش بوتاکس در درمان بیماری ام اس
دکتر انه که واندروالت ازمرکز پژوهش‌های سلطنتی ملبورن دراسترالیا ومتخصص مغز و اعصاب در دوره‌های تکمیلی ملبورن می‌گوید که لرزش و تکانهای بیماران دچار ام اس(ms) به داروهای متداول جواب نمی‌دهد و بررسی و راه‌های جدیدی برای معالجه می‌طلبد‮.