داروسازی - صفحه 31
شماره ۹۹۸
آسپیرین محافظ قلب و نقرس
شماره ۹۹۸
بازبینی‌MAOI‌‌ها
مهارکننده‌های منوآمین اکسیداز monoamine oxidase inhibitor (باکوته‌نوشت ‌MAOI) نخستین‌نوع داروهای ضد‌افسردگی بودند که وارد بازار دارویی شدند. این داروها مؤثرند ولی عموماً به‌جای آنها از داروهای ضدافسردگی دیگری استفاده می‌شود که مطمئن‌تر‌بوده و عوارض‌جانبی کمتر دارند.
شماره ۹۹۸
داروهای ضدافسردگی و ...
افزایش‌وزن از عوارض احتمالی تمامی داروهای ضد‌افسردگی است. اما، هر فرد نسبت‌به داروی ضد‌افسردگی به‌صورتی متفاوت عکس‌العمل نشان‌می‌دهد.
شماره ۹۹۷
راهکارهای جدید درمان علائم منوپوز
شایع‌ترین علائم منوپوز علائم وازوموتور شامل: گُرگرفتگی و علائم واژینال است علائم وازوموتور در 50 الی80 درصد زنان آمریکائی که به‌طور طبیعی یائسه می‌شوند مشاهده می‌شود که به نوبه‌ی خود ممکن‌است بیماری‌زا باشد.
شماره ۹۹۷
روی،حلقه مفقوده
استئوآرتریت، علت اصلی ناتوانی است و با تخریب بافت غضروفی در مفاصل مشخص می‌شود ولی در این مورد درمان‌های مؤثر وجود ندارد زیرا علل ملکولی زمینه‌ساز آن روشن نیست.
شماره ۹۹۷
مکمل کلسیم D و شکستگی
ازکارآزمایی سلامت آغازین خانم‌ها Women’s Health Initiative (باکوته‌نوشت‌WHI) درمورد استفاده از مکمل‌کلسیم و ویتامین‌D نتایج تازه‌یی به‌دست‌آمده است.
شماره ۹۹۷
ویتامین C و کاهش استروک
نتایج یک بررسی نشان می‌دهد مصـرف خوراکی‌های حاوی ویتامینC مانند پرتقال، فلفل، توت‌فرنگی، پاپایا وکلم‌بروکلی با کاهش احتمال استروک هموراژیک ارتباط دارد.
شماره ۹۹۷
آنتی‌بیوتیک و بـارداری
دردوران بارداری، آنتی‌بیوتیک به وفور تجویز می‌شود.
شماره ۹۹۶
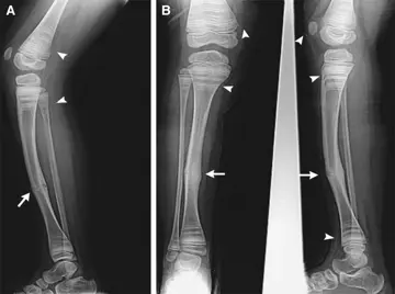
خطوط گورخری رادیوگرافی
یک پسربچه‌ی‌6‌ساله دچار نوعIV استئوژنزیس ایمپرفکتا را با درد ساق‌راست پس‌از افتادن به بخش اورژانس آوردند.
شماره ۹۹۶
کرامپ قاعدگی و داروی نعوظ
دربسیاری خانم‌ها، کرامپ‌های ماهانه‌ی قاعدگی سیر زندگی را برهم زده و سبب بروز تهوع، استفراغ و سرگیجه می‌شود. اما طبق نظر پژوهشگران کالج ایالتی طب پنسیلوانیا، دارویی که درمردان برای درمان سوء‌کار نعوظ به کار می‌رود تا حدی سبب تسکین نشانه‌ها می‌گردد.
شماره ۹۹۶
داروها و مرگ‌ومیر دیابت
نتایج یک پژوهش جدید که به‌ اجلاس سالانه‌ی جامعه‌ی اروپائی «بررسی دیابت» (EASD) در بارسلون اسپانیا عرضه شد، نشان می‌دهد بیمارانی که به عنوان خط اول درمان دیابـت نوع2 از سولفونیل اوره‌ها استفاده کرده‌اند نسبت به بیماران مصرف‌کننده‌ی متفورمین از مرگ‌و‌میر بالاتری برخوردار بوده‌اند.
شماره ۹۹۶
افزایش پانکرآتیت با HRT
درخانم‌هایی که از درمان جانشینی هورمون بعد‌از یائسگی (HRT) استفاده می‌کنند ممکن‌است خطر پانکرآتیت حاد افزایش یابد. این موضوع، نتیجه‌ی یک بررسی است که درشماره‌ی 29 ژانویه‌ی2014 نشریه‌ی جامعه‌ی پزشکی کانادا (CMAJ) انتشار یافته است.