سایر رسانه ها - صفحه 81
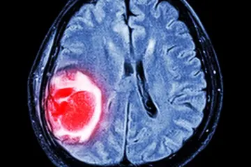
ضرورت حمایت از تحقیقات ملی درباره داروی یک سرطان بدخیم مغزی
یک متخصص فارماکولوژی بالینی گفت: گلیوبلاستوم مولتی فرم، یکی از بدخیم‌ترین انواع تومورهای مغزی است که این بیماری تا حد زیادی غیرقابل درمان کامل و قطعی است.
اختلالات روانی در شهرنشینان شایع‌تر از جمعیت روستایی است
آخرین مطالعات کشوری نشان می دهد که جمعیت شهر نشین در مقایسه با جمعیت روستایی بیشتر در معرض خطر ابتلا به اختلالات روانی هستند و همچنین زنان بیشتر از مردان در معرض افسردگی هستند.
جستجوی حیات در مریخ با الهام از فسیل ها
محققان دانشگاه ادینبورگ انگلیس برای ارتقای کارآیی روش های جستجوی حیات در مریخ به فسیل های باستانی متوسل شده اند.
فوت سه نفر براثر ابتلا به آنفلوانزا/رعایت بهداشت در اولویت است
سنندج - مدیر روابط عمومی دانشگاه علوم پزشکی کردستان گفت: متاسفانه طی چند روز اخیر و به دنبال شیوع بیماری آنفلوآنزا تاکنون سه کردستانی به دلیل ابتلا به این بیماری جان خود را از دست داده اند.
همه گیری ویروس آنفلوانزا تا سه هفته آینده ادامه دارد
رئیس مرکز مدیریت بیماری های واگیر وزارت بهداشت، گفت: همه گیری ویروس آنفلوانزا در کشور، حداقل تا سه هفته آینده ادامه خواهد داشت.
احتمال ابتلا به سرطان در افراد چاق بیشتر است
دبیر انجمن پیشگیری و درمان چاقی ایران بر ضرورت فرهنگ سازی و سیاست‌گذاری برای مقابله صحیح با چاقی تاکید کرد و گفت: احتمال ابتلا به سرطان در افراد چاق بیشتر است.
دسترسی مراکز درمانی کشور به داروی آنفلوانزا محدود نشود
معاون بهداشت وزارت بهداشت، در نامه ای به معاونین بهداشت دانشگاه ها و دانشکده های پزشکی سراسر کشور، بر گسترش سطح پوشش مراکز درمانی به داروی «اوسلتامی ویر»، تاکید کرد.
آلودگی هوا ریسک بیماری چشمی «آب سیاه» را افزایش می دهد
مطالعات نشان می دهد افراد ساکن در مناطق دارای بالاترین میزان آلودگی هوا ۶ درصد بیشتر با احتمال ابتلا به آب سیاه (گلوکوم) مواجه هستند.
بیماران HIV مثبت در معرض ریسک بالای مرگ قلبی
مطالعات نشان می دهد مردان مبتلا به ویروس HIV با افزایش ریسک مرگ های قلبی ناگهانی مواجه هستند.
بهتر است در زمان آلودگی هوا در خانه بمانید
یک متخصص بیماری های داخلی توصیه کرد شهروندان تهرانی در منزل بمانند، زیرا هم سطح شهر تهران و هم اطراف شهر هوای آلوده ای دارد.
هشدار به تهرانی‌ها درباره آلودگی هوای پایتخت
رئیس گروه سلامت هوا و تغییر اقلیم مرکز سلامت محیط و کار وزارت بهداشت گفت: میانگین شاخص کیفی هوای تهران طی ۲۴ ساعت گذشته به عدد. ۱۵۷ رسیده است که در محدوده ناسالم برای تمام گروه ها است.
بیماری چشمی «دژنراسیون ماکولا» عامل اصلی نابینایی در سالمندان
مطالعات نشان می دهد دژنراسیون ماکولا مرتبط با افزایش سن علت اصلی از بین رفتن بینایی مرکزی است و منجر به تاری دید یا نابینایی کامل می شود.