سایر رسانه ها - صفحه 109
امشب آخرین مهلت دریافت کارت آزمون استخدامی/ آغاز فرآیند برگزاری آزمون از فردا
هفتمین آزمون استخدامی مشترک ۲۲ دستگاه‌ اجرایی در سال ۹۸ با شرکت حدود ۵۲۲ هزار داوطلب فردا پنج شنبه ۳۰ آبان ماه برگزار می‌شود.
دستگیری اغتشاشگران غیربومی در لرستان
فرمانده انتظامی لرستان با اشاره به دستگیری عوامل و برخی لیدرهای آشوبگران و مخلان نظم و امنیت، گفت: برخی از اغتشاشگران در استان غیربومی بودند.
هشدار وضعیت "فاجعه" در جنوب استرالیا
در پی تداوم آتش‌سوزی‌ها در استرالیا هشدار وضعیت "فاجعه" در جنوب این کشور اعلام شد.
ارتباط سرب و افزایش سرطان در کودکان/ مشکل پمپ بنزین ها
سرپرست دانشگاه علوم پزشکی شهید بهشتی، با اشاره به آثار سوء سرب بر سلامت انسان و نسبت مستقیم آن با افزایش سرطان در کودکان، گفت: در کشور ما پمپ بنزین ها در داخل بافت شهری قرار دارند.
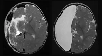
عملکرد افرادی که فقط یک نیمکره مغز دارند بی‌نقص است
پژوهشگران آمریکایی در بررسی جدید دریافتند عملکرد افرادی که فقط یک نیمکره مغز دارند،کامل است و نقصی ندارد.
افزایش تولیدات علمی در حوزه سم شناسی
رئیس انجمن سم شناسی ایران، از افزایش تولیدات علمی در حوزه سم شناسی خبر داد و گفت: در سال ۱۹۹۶ تولید علم در این حوزه ۵۰ سند در سال بوده و این آمار در سال ۲۰۱۸به ۳۱۳۶ سند رسیده است.
نحوه ارائه «بسته معیشتی» به تازه ازدواج کرده‌ها
سخنگوی ستاد شناسایی مشمولان طرح حمایت معیشتی وزارت رفاه درباره اینکه آیا افرادی که اخیرا از فهرست یارانه بگیران حذف شده‌اند مشمول دریافت بسته جدید خواهند بود یا خیر؟ گفت: افرادی که به دلیل آزمون وسع، مشخص شد که وسع مالی بالایی دارند و در زمره سه دهک بالای درآمدی هستند قطعا مشمول بسته حمایتی جدید نخواهند بود.
علت افزایش شکایت از کارهای زیبایی در پزشکی
معاون آموزشی سازمان نظام پزشکی تهران بزرگ، ورود افراد واجد شرایط به انجام کارهای زیبایی در پزشکی را، یکی از دلایل افزایش شکایت ها در حرفه پزشکی دانست.
بارش 15 سانتیمتری برف در گردنه آهوان/ استان سمنان سردتر می‌شود
کارشناس پیش‌بینی هواشناسی استان سمنان از تداوم بارش‌ برف و باران در اکثر نقاط این استان خبر داد و گفت: دمای هوا از فردا 30 آبان‌ماه 5 تا 10 درجه کاهش می‌یابد.
نگاه ما به محیط‌زیست فانتزی‌ است/ «چرم‌شهر» نباید حتی یک ساعت به کار خود ادامه دهد
رئیس سازمان محیط زیست گفت: با این وضعیت چرم‌شهر از نظر قانون نباید حتی یک ساعت به کار ادامه دهد.
روشی مناسب برای افزایش حجم در بدنسازی
آب پنیر یا همان پروتئین وی یک ماده مقوی و سرشار از مواد مغذی است که به عنوان مکمل‌های پروتئینی در بدنسازی استفاده می‌شود.
رییس بهزیستی کشور: حدود نیمی از ضایعه نخاعی‌ها زخم بستر دارند
رئیس سازمان بهزیستی کشور گفت: این سازمان ۲۶ هزار بیمار ضایعه نخاعی را تحت پوشش دارد که ۴۲ درصد آنها زخم بستر دارند.