رادیولوژی - صفحه 4
شماره ۱۰۱۸
نگاهی به اپیدیدیمیت
شماره ۱۰۱۷
غربالگری با ماموگرافی
شماره ۱۰۱۶
سونوگرافی مفید یا مضر؟
شماره ۱۰۱۴
پاراگونیـمیاز
یک مرد ۱۸‌ساله با سابقه‌ی یک ساله‌ی هموپتیزی پراکنده (episodic) مراجعه کرد.
شماره ۱۰۱۳
جلوگیری‭ ‬از‭ ‬اشتباهات‭ ‬در‭ ‬سونوگرافی
شماره ۱۰۱۲
نیاز به تصویرسازی مجدد
شماره ۱۰۰۸
سلامت قلب جنین
شماره ۱۰۰۶
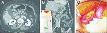
بلع اسباب‌بازی
یک خانم 72 ساله با سابقه‌ی 3‌روزه‌ی درد دور ناف به بخش اورژانس مراجعه کرد. او قبلاً یک باراستفراغ کرده بود.
شماره ۱۰۰۶
تصویرسازی سندرم آپرت
شماره ۱۰۰۴
دانه قهوه و نوک پرنده
شماره ۱۰۰۱
استفاده از PET-‌ CT درمرحله‌بندی DLBCL
ما روش(positron emission tomography+computed tomography(PET-CT را درمورد لنفوم DLBCL) Diffuse Large B-cell) بررسی کردیم تا ببینیم گرفتاری مغز استخوان در‌این بیماران چه ارزشی دارد و آیا دقیق‌بودن آن جانشین بیوپسی مغز‌استخوان خواهد شد؟
شماره ۹۹۶
خطوط گورخری رادیوگرافی
یک پسربچه‌ی‌6‌ساله دچار نوعIV استئوژنزیس ایمپرفکتا را با درد ساق‌راست پس‌از افتادن به بخش اورژانس آوردند.