رادیولوژی
99-231
سی‌تی اسکن بر مبنای شمارش فوتون
سی‌تی‌اسکن PC چند محدودیت تکنولوژی فعلی سی‌تی را برطرف می‌کند. اگر چه فن‌آوری به کار گرفته شده در دتکتورهای آن جدید نیست ولی در حوزۀ سی‌تی پدیده‌ای نوین می‌باشد.
99-222
ارزش تصویر برداری پزشکی در تشخیص و ارزیابی کووید-19
جایگاه تصویر برداری پزشکی در تشخیص درگیری ریوی بیماران کرونایی از ارزش بسیار بالایی برخوردار است .انجام سی‌تی‌اسکن ریه بدون تزریق کنتراست روش پیشنهادی در تشخیص و همچنین ارزیابی بیمار حین درمان خواهد بود .
199 - متن سخنرانی انجام شده در کنگرۀ سالیانه دانشگاه اوکراین در کیف
ابتلاء سیستم عصبی و سیستم اعصاب محیطی با کووید-19
آیا کووید-19 یک ویروس است؟ ، ذره است؟ یا هر دو ویژگی را داراست؟ این ویروس اعضای متعددی را مبتلا می‌سازد که عمدتا شامل ریه ، قلب ، کلیه‌ها، روده و سیستم عصبی مرکزی و محیطی می‌گردد. تظاهرات بالینی نیز از نشانه‌های خفیف تا عفونت شدید بروز می‌نماید.
99-140
پارائیدولیا در رادیولوژی وتصویر نگاری “یک دید گاه علمی و هنری در رادیولوژی”
پارائیدولیا به صورت توهم بینایی و بویایی تعریف شده است ولی منظور ذکر توهم روانی و اخلاقی در رادیولوژیست‌ها نبوده بلکه تصورات بینایی هنرمندانه آنها را معرفی می‌نماییم.
99-147
آیا سی تی اسکن قادر به تشخیص کرونا ویروس است؟
سی تی اسکن قفسه سینه ویژگی‌های رادیولوژیکی رایج در بیماران مبتلا به کوید-19 را مشخص می‌کند.
206
سی تی اسکن چیست ؟ چه عوارضی دارد ؟ چگونه انجام می‌شود؟
سی‌تی‌اسکن(CT Scan) امروزه دارای کاربردهای بسیاری است ، اما به‌طور اختصاصی برای بررسی سریع افرادی که در اثر سوانح رانندگی یا انواع دیگر تروما دچار صدمات داخلی شوند به کار می‌رود.
شماره ۱۱۱۹
تصاویر ام‌آر‌آی در کودکان مبتلا به اوتیسم
بسیاری از کودکان مبتلا به اوتیسم به‌عنوان بخشی‌از روند درمان‌، خدمات تحلیل رفتاری کاربردی دریافت‌می‌کنند که این درمان شامل آماده‌کردن کودکان مبتلا به اختلال اوتیسم جهت معاینات بالینی می‌باشد و تا‌به‌حال برای روندهای تحقیقی با استفاده از ام‌آر‌آی به‌کار گرفته نشده‌است‌.
شماره ۱۰۶۶
رژیم‌غذایی پرقند و بروز ‌اوتیسم
بسیاری از غذاهای معمول در رژیم غذایی غربی مانند نان، غلات و غذاهای پردازش شده با شکر منجر به افزایش و سپس کاهش سریع میزان قند خون می‌شوند.
شماره ۱۱۱۹
تفاوت در مغز بیماران دچار اسکیزوفرنی
شماره ۱۱۱۲
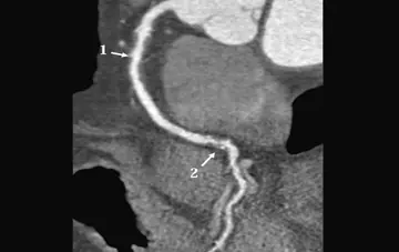
تصویربرداری از قلب با حذف ضرورت تنفس
شماره ۱۱۱۰
MRI بهترین روش تعیین بیماران قلبی پرخطر
شماره ۱۱۰۸
سل ستون‌فقرات سینه‌ای
یک مرد ۲۰ساله با تبار بنگلادشی با سابقه‌ی ۶‌ماه بی‌اشتهایی و کاهش‌وزن به کلینیک ما معرفی شد ...