بیماری پارکینسون
درمان جدید بیماری پارکینسون
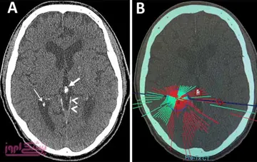
بررسی های جدید حاکی از افزایش کیفیت زندگی بیماران پارکینسونی با کمک پالس های امواج فراصوتی است، که با بهبود چشمگیر و سریع لرزه ها در این بیماری همراه بود .
تفاوت نشانه های پارکینسون در مردان و زنان
خطر ابتلا به بیماری پارکینسون در مردان دو برابر است. اما پیشرفت بیماری‌های مخرب سیستم عصبی در زنان سریع‌تر است و همین موضوع ممکن است موجب مرگ زودهنگام آنها می گردد.
داروهای پروبیوتیک و بیماری های آلزایمر،پارکینسون و ام اس
فلور روده انسان حاوی انواع مختلفی از باکتری ها است. بسیاری از این باکتری‌ها که پروبیوتیک نام دارند، برای گوارش بهینه غذا مفیدند.
شماره ۱۰۶۹
افسردگان در معرض خطر بیماری پارکینسون
بیش‌از ۲‌دهه است که شاهد ارتباط بین افسردگی و بیماری پارکینسون هستیم؛ به‌طوری‌که افسردگی ممکن‌است نشانه‌ای بسیار ابتدایی یا عامل خطری برای بیماری پارکینسون باشد.